季節の変わり目や、花粉の時期…😷まぶたが痒くなったり、赤くなったりして「どうしよう!」ってなることありませんか?💦私もそんな一人だったのですが、皮膚科で雑な診察だったのでステロイドのお薬をもらったけどまったく効かなかったのでお友達にすすめられ...
もっと見る
95
4
- 2週間前
引用元もあるように、先日えらい化粧かぶれを引き起こしまして・・しばらく、イプサの化粧水とキュアレアのみで生活しておりました。せっかくなのでこのキュアレアをレビュー!キュアレアは赤ちゃんにも使える非ステロイドのクリームで、テクスチャも硬すぎず、...
もっと見る
110
5
- 2ヶ月前
🐈⬛dプログラムモイストケアセットMB🐾¥1,100これ、肌荒れ中に何度もお世話になりました。初めて使ったのはこのセット。そこから現品購入し、お肌が荒れたら使ってたんだけど肌弱長男が気に入ったので譲り…長男リピしたけど購入はあたし…リピする...
もっと見る
138
2
- 2025.05.29
お肌のお守り。さり気にリピ商品。🐈⬛キュアレア医薬品🐾コロナの時期マスクかぶれで薬局でオススメされてからずっと持ってる。レチノールで目が腫れたり荒れた時、合わないスキンケアで荒れたときも助かった。目の周りに使える薬ってなかなかないのにドラッ...
もっと見る
115
4
- 2025.04.22
生理前後や体調崩してる時はお肌が揺らぎやすいので、こちらを使ってます🎶 生理前後は普段乾燥しやすい肌ですが、ホルモンバランスの乱れで皮脂が出やすくなる体質のようで、顎ニキビができやすいです😭 体調崩すと頬にもブツブツができやすいので、風呂上がりにキュアレアa塗ってます。赤みや痒みがある時はとても助かってます🙆♀️ また体調悪いと強い日焼け止めはピリピリ感じるので、子供用に購入したマミーのUVマイルドジェルNを使用して刺激を減らしてます。
もっと見る
52
3
- 2024.07.12
キュアレアa。顔に使える医薬品です。思いがけずゆるめのクリームでした。1回塗って終わりというよりも、何回か塗った方が効くみたいです。#キュアレア...
もっと見る
89
0
- 2週間前
以前CLINIQUEのモイスチャーサージをライン使いしていました。 化粧品かぶれを起こしてしまいました😱 急遽元のスキンケアに戻しましたが手遅れ。肌が敏感になってしまいました😱 一昨日から顔を寝ている間に引っ掻いていたり、人生最大の肌荒れ😱 こちらで調べて「キュアレアa」を購入しました! 二日間でだいぶ赤みが引いたよ◎ 本日皮膚科を受診して、塗り薬を処方してもらいました。 「これは化粧品かぶれを起こしてますね。でも、マスクかぶれの受診とても多いです。耳の後ろとか」 ちょっとしたかぶれなら、とてもおすすめな商品です。千円前後で手に入ります。 高い化粧品買うより、薬でぱぱっと治してしまいましょう💊
もっと見る
160
12
- 2021.08.07
寝る前に赤み出てるところに塗り塗りと… 特に臭いもなく白いクリームで伸ばしやすいです🙆♀️ (結果)約1ヶ月ほど使うと治る💊 なんなら赤みが増すこともあったので 市販でどうにかするなら病院行った方が即効性のある薬をもらえるんじゃないかなと思ってしまいました💦
もっと見る
86
5
- 2023.03.14
お久しぶりです。おそらく1年ぶりの投稿です。今回は去年からお肌の荒れ、ニキビに悩んで色々試した結果ホントに出会ってしまったスキンケアを紹介します😃それは…………「akaranmedicalwhitegel」です。これ、美白も書いてあるんですが...
もっと見る
50
6
- 2020.03.27
🌼・・・・・・・・・・・・・・・🌼 キュアレアa 第2類医薬品¥1,000(税抜)🌼・・・・・・・・・・・・・・・🌼化粧かぶれ、花粉、乾燥などによる、顔などのかゆみ、かぶれ治療薬です✔️効能、効果 湿疹、皮ふ炎、かゆみ、かぶれ、ただれ、 あせ...
もっと見る
58
6
- 2020.12.13
あの後ドラストに行ってキュアレアaを購入! あんなに赤くなって熱もってたのに引いてる!!! 凄い!3日もあれば治りそうな勢いだ!と感動 みんなも合わない化粧品でかぶれをおこしたらドラストでキュアレアa買お!
もっと見る
34
7
- 2023.06.20
花粉の季節の必需品👼🏻キュアレアa 8g1000円(税抜)花粉の季節、顔が痒くなることないですか?💭花粉に限らず、乾燥・化粧品かぶれ・マスクの着用による肌荒れにも効果があります◎非ステロイド性クリームなので、目周りにも安心して使用できます😌ク...
もっと見る
58
2
- 2021.03.21
🔵キュアレアa/小林製薬/✼••┈┈••✼••┈┈••✼••┈┈••✼••┈┈••✼花粉皮膚炎の時に病院ではステロイドを処方されていたのですが、だんだん使っていくのが心配になったので色々探して非ステロイドのキュアレアを購入しました。有効成分は...
もっと見る
53
1
- 1ヶ月前
乾燥がひどかったのと、スキンケアで使ったものが合わなくて顔中に湿疹のようなものが全体にできてしまって急遽買った顔に使える軟膏。痒くてたまらなかったし、本当にひどかったのに1週間くらい毎日塗り続けていたら綺麗に治りました。病院に行かずに済んだし...
もっと見る
40
1
- 3ヶ月前
︎︎︎︎︎︎︎☑︎︎キュアレアaアレルギーからの目の下の赤みが気になり始めこちらを使い始めました!使い初めてみると赤みが引いてきた感じがします。非ステロイドなのでそこもいいです。#乾燥#被れ#赤み#キュアレア#医薬品#キュアレア#おすすめ#非...
もっと見る
46
2
- 4ヶ月前
平素より大変お世話になっております。✩#わたしの一軍スキンケア✩.*˚この私も便乗させてください。今回は、ざっくりザクザクとご紹介致します🙏まずは、#ニベアニベアの大缶です。お風呂上がりのボディケアに。そして、顔面のスキンケアの最後に。詳しく...
もっと見る
210
17
- 2019.06.15
キュアレア顔などのかゆみ、かぶれに。薬局で千円ほど。ステロイドではないので、顔に塗っても安心☺️かゆみ、炎症を鎮めてくれます。目の周りにも塗れる塗り薬って少ないので、ドラッグストアで購入できるのは心強い😉サラッとした白いクリームでベタベタしな...
もっと見る
140
6
- 2020.03.05
【キュアレアa医薬品】⚠️コスメの投稿じゃなくてすみません⚠️皆さんいかがお過ごしですか?私は数日前まで顔面がピリピリヒリヒリして痛かったです😭😭😭休みの日にちゃんと化粧できるのにこの前の日曜日はできなかった😩リルアでメイクしたかったぁー😭ほ...
もっと見る
87
5
- 2021.03.03
今回はマスク荒れしていて悩んでいた私が1週間スキンケアを変えて現在改善されたので肌トラブルスキンケア日記みたいになっちゃいました笑💦症状は洗顔すると顔がヒリヒリする赤みがあり、乾燥少しあり今回はこちらを購入しました‼︎小林製薬キュアレア1〜2...
もっと見る
73
5
- 2020.08.29
化粧かぶれを起こしたときの救世主です😭 花粉やマスクによる荒れにも対応出来るクリームになってます✨ 見た目は白いクリームで、塗り込むと透明に変わっていきます! 少しで馴染んでいくのでコスパも◎ 匂いや刺激はなく色んな症状に役に立つので、ひとつ持っておくと安心できると思います❕
もっと見る
117
6
- 2023.03.24
こんにちは✈️✈️✈️先日から肌トラブルが絶えず、終いには写真のような「腫れ、疼痛、発赤、ただれ、痒み、熱感」等の炎症のような肌になってしまい、外へ出ることも出来ず泣きながら家に篭もる毎日でした😭本当に顔ぱんぱんで、頬も熱いし痛いし痒いしで本...
もっと見る
64
8
- 2021.08.05
今、肌荒れがひどくてメイクもスキンケアもできていません。😞しょぼーん先月の26日から乳液を使うとヒリヒリ痛く。次の日になると化粧水もヒリヒリしだし。救急箱に入れていたワセリンのみで保湿を2日間くらいしました。がベタベタはすれど乾燥が心配になり...
もっと見る
80
4
- 2021.03.05
キュアレアa⚠️2枚目悲惨な写真あるので要注意です💦アイプチのしすぎ?で腫れてしまって触るだけで痛くどーにかしたい!!!ということでいろいろ見てたらキュアレアがいい!とあったので試してみます!!どうか治りますように👀...
もっと見る
66
2
- 2021.02.02
花粉の影響で目、鼻がかゆくてただれてしまったので購入してみました。 非ステロイドなので心配なく使えて、赤くただれてたのもましになってきたのでよかったです。 帰宅後、朝、寝る前にすぐ洗顔して保湿した後に使うようなしてます。
もっと見る
90
3
- 2025.02.02
花粉や黄砂、PM2.5でも顔がかぶれるので年間通して欠かせません 特に昨年から右目のかぶれが酷いので、瞼の際まで塗れるのは有り難いです ⚠️目に入らない様、ご注意下さい
もっと見る
42
4
- 2025.02.15
◤◢◤◢注意◤◢◤◢目元の、どアップ有ります!急に化粧品かぶれが起こった…...(´°ω°)チーン原因はなんだろう?ADDICTIONのアイシャドウはいつも使ってるけどなんともなかった(°_°)バリア機能の低下?キュアレア買ってみたけど、良く...
もっと見る
26
0
- 2019.08.26
即効性はあるのですが、また直ぐに痒くなるので一日中持ち歩いています ファンデーションはなるべく塗りたくは無いけれど、どうしても塗らなくてはならない時はCICA配合のモノを使っています スキンケアもCICAを主流に使う様にはしていますが、中々鎮静されないのが悩みの種 仕上げは素っぴんパウダーのCICA
もっと見る
42
1
- 2024.05.29
合わない下地で荒れたお肌は落ち着いてきたものの時々かゆみ… このお薬おむつかぶれにも効くみたいなので 赤ちゃんのお肌でも大丈夫だから目の周りも使えるんだね🤔 吹き出物にはアットノン。比較的早く吹き出物のあとがなくなってくれます。
もっと見る
137
5
- 2024.02.25
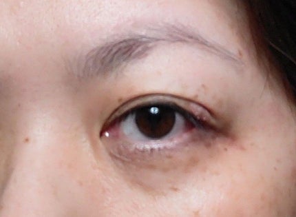
ババアの素っぴんドアップ、お目汚し失礼しますm(__)m左目の瞼がかぶれました💧少し腫れてますね…そして痒い(´pωq`)今回は原因が判らないのですが、キュアレアで地道に治します...
もっと見る
54
1
- 2021.11.07
🦧アイプチで出来たできものの治し方#ルナの一重日記で投稿したアイプチでできたあのひっどいできものを1日で治した方法です!⋱⋰⋱⋰⋱⋰⋱⋰⋱⋰⋱⋰⋱⋰⋱⋰⋱⋰⋱⋰⋱⋰⋱このできものができなくても、いつも寝る前にまぶたのケアとして塗っています。普...
もっと見る
269
151
- 2020.07.28
**キュアレアaクリーム〈第二類医薬品〉薬局で1000円程度でした。*画像の通りまぶたがかぶれてしまいました。目を閉じた状態ではあまり分からないものの、目を開けると完全ド一重…。元の線すらも消し去る…。カサカサして硬くなってしまっているので変...
もっと見る
102
38
- 2020.04.03
私は二重化粧品のルドゥーブル愛用してます。とある日から、ルドゥーブルでまぶたが荒れ始めました。でも、ルドゥーブル以外で二重を作るのが嫌でした。だってルドゥーブル上手く使えたら綺麗な二重なんだもん!!!!ってここまで話してるとルドゥーブルの宣伝...
もっと見る
84
37
- 2019.05.16
キュアレア クリーム 小林製薬株式会社🔶商品紹介🔶●化粧かぶれ●赤み●花粉、乾燥などによるかゆみ顔などのかゆみ・かぶれに目の周りにも使えます🌼個人的な感想🌼目の周りにも使えて、とっても助かっています👍クリームタイプですぐに浸透してくれるので効...
もっと見る
50
5
- 2023.12.29
🐱LIPSさんのタグ企画に参加してみました🐱#わたしの一軍スキンケアLIPSさんのタグ企画に参加(¨̮)👍今回はスキンケアということで…以前もレビュー投稿したことありますがおたぬ的一軍アイテムを画像でご紹介✍このアイテム達のポジションはほぼ浮...
もっと見る
109
21
- 2019.06.15
一昨日から急に目の周りが痒くなり、今朝起きると、お岩さんになってました🐟🥶二重の線が消えとんでもないことになりました😨焦って調べて購入したこちら‼️🌟【キュアレア】目の周りにも使えて、痒みを抑える効果と、抗炎症作用があるお薬です😭🌟おむつかぶ...
もっと見る
139
17
- 2019.04.20
キュアレアaキュアレア医薬品¥1,100✼••┈┈••✼••┈┈••✼••┈┈••✼••┈┈••✼目のかぶれがきになって手軽に買えるのでためしに💦...
もっと見る
40
0
- 1週間前
#おうち美容紹介#スキンケアルーティーンふーちん。です。初めての#投稿です。2番目から。右のメディリフトは目のたるみが気になってるのでたるんでるところを中心に顔全体をマッサージするつもりでやってます。これは朝晩用でしてます。ただ、これだけでは...
もっと見る
96
1
- 2021.05.28
【ステロイドをやめたい】高校生の時に湿疹のような赤いぽつぽつができ、皮膚科でもらった「ロコイドクリーム0.1%」をステロイドと知らず治ってもずっと塗っていたのがきっかけで、気付いた時にはステロイドを塗らないと痒みと赤いぽつぽつができるという繰...
もっと見る
48
4
- 2020.07.14
二重メイクの方に是非!!!お守りとして購入しておいてもいいと思います❤️きっかけはもうすぐ埋没をするんですがまぶたがかぶれたり腫れたりしているとできないと言われちゃったんです🥲ちなみに最近の二重メイクはふたえテープ(水で貼るタイプ)に下の部分...
もっと見る
56
6
- 2021.11.27
こんばんは、紫々丸です😭何故泣いてるかというと💦合わないスキンケアしてしまいまたもや目の周りが腫れてしまいました😱と言うことで今回の紹介は小林製薬株式会社さんからでてるキュアレアaクリームを2回目の投稿です👏👏👏👏👏👏何度もお世話になってます...
もっと見る
134
3
- 2021.03.02
💊ニキビ治療薬まとめ💊ニキビにいろいろ試して3年ほど経ちました。その間にお世話になったひとたちのメモ✏︎使用頻度順!使い心地とか効き目とか諸々含めて、星5つで評価しておきます。◆スポッツエッセンス ★★★★★[メリット]とにかく肌に優しいので...
もっと見る
66
4
- 2020.12.12
環境の変化があり、とーーっても肌が荒れてしまったとき助けてもらったスキンケアです。肌が荒れた、というか一時的にアトピーみたいなってしまい、顔面、首、耳がとにかく赤く痒くなり肌がゴワゴワになりました。肌が荒れているだけだとアユーラだけでスキンケ...
もっと見る
81
3
- 2020.02.06
アイプチで荒れた時の対処法‼︎以前、アイプチと相性が悪かったのかすごい目が荒れて熱くなって腫れちゃったんですけど、それ以来、荒れや腫れが治ったとはいえすぐに瞼が赤く腫れるようになってしまいました…😭でも、一重に近い奥二重だから外に出るのにアイ...
もっと見る
68
3
- 2021.05.14
コスメではないです。すみません…以前、まぶたの調子が悪いと投稿してから何度も繰り返し腫れて、ただれて、病院でいただいたお薬があまり効かなくて使ってみました。これを使ったら今回は落ち着いて約1週間ぶり返さなかったのと、ただれた痕も無くなってきた...
もっと見る
93
5
- 2018.07.06
めちゃめちゃ治ってます!前の投稿で塗って数時間で赤みが引いたから「3日で治りそうな勢い」と書いたんだけどほんとに明日治りそうww これまで私は化粧はほとんどしないようにしており 仕事の時でもキュアレア塗って、すっぴんパウダーつけて、アイブロウとアイシャドウだけして終わり! マスクもしたまま仕事してるので群れや擦れで痒くなりますがこまめにパウダー塗り直すことでどうにか耐えてきた💪('ω'💪)
もっと見る
29
2
- 2023.06.22
こんにちは☔紫々丸です🙏今日は雨風が強いかったのですが瞼が乾燥してしまって痒くて痒くて仕方がなかったのでドラックストアに行ってキュアレアaを買ってきました👁かぶれの原因は何かと考えてのですがもしかしたら美顔器のmakeonのスキンライトテラピ...
もっと見る
133
1
- 2020.04.18
♡キュアレアa医薬品♡ここ2.3日、スキンケアすると肌がぴりぴりするんです(T_T)なにが原因なのかわからないので取り急ぎ、ドラックストアでオススメしてもらったこちらの薬を買ってきました!!白い、さらっとしたクリームで容量はお値段の割に少なめ...
もっと見る
65
4
- 2021.11.12
こんにちは💕😙最近の悩み事😓です!謎の化粧かぶれ?アイシャドウかぶれ?アイプチかぶれ?現在発令中😱😱なのです普段からあまりメイクしてそうで、あんまりしてなくてお出かけ以外わねっ💦お肌の呼吸できてないのかも…(´;ω;`)最近、LIPS初めてか...
もっと見る
82
2
- 2020.07.02
キュアレアa二重のりで二重幅を広げようとした際にゴムラテックスでまぶたが荒れて皮が剥けてしまうほどかさかさになってしまいました😹💦おまけに腫れました...最初はワセリンを使っていましたが一向に効果が現れず治る気がしなかったので色々調べてみると...
もっと見る
50
5
- 2020.07.30
アトピー女子が使ったらどうなるのか?今回はキュアレアaのレビューです。小林製薬から出ている第二類医薬品で、湿疹や皮膚炎、かぶれに効果のある塗り薬です。ドラッグストアで8g1000円(税抜き)で購入しました。まず結論ですが、痒みは収まるけど乾燥...
もっと見る
44
2
- 2020.05.20
![LIPS[リップス] - コスメのクチコミ検索アプリ](https://cdn.lipscosme.com/assets/lips_logo_full_2022-bc7b4bc9dd66035bc5696b0d16bc3d38a7be357186656c039e68cc4cf21ae675.png)

























































































































