ãããããå°ãããªã£ãé£ç掻2éžãããã«ã¡ã¯ãsayïŒããïŒã§ããæ¯æ¥ã¹ãã³ã±ã¢ããŠãç®èç§ã«éã£ãŠãããããããªããªããªãðãšããããšã¯ãããŸãããïŒç§èªèº«ãéå»ã«äœç®æãç®èç§ãæ¿ããŠã¿ãããæåœããæ¬¡ç¬¬ãåç²§æ°Žã乳液ã詊ãããããããã©...
ãã£ãšèŠã玬ããã®äººæ°ã¯ãã³ã
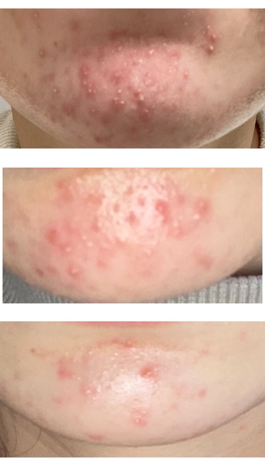
\é¡ãèŠãŠã¯èœã¡èŸŒãã§ããç§ã®è/ããã°ãã¯ð玬ã§ããä»åã¯ç§ã®èã«ã€ããŠã§ããåçã®éãç§ã¯ä»¥åãŸã§ãã®ãããèãèããŠããŸãããä»ã§ããããè·¡ãªã©ã¯ãããŸããã ãã¶ç®ç«ããªããªã£ãŠããŸãããåéã芪ã«å¿é ãããã(é ·ãã®ã¯èªåã1çªããã£...
ãã£ãšèŠã
2479
1088
- 2021.03.13
ããã°ãã¯âœâã玬ã§ãâªïžç§ããšãŠã€ããªãé ·ãã£ããé¡ãã®èèããæ¹åããŠãããã¢ã€ãã ãã¡ãã玹ä»ããŠãããããšæããŸãðð»ð€ð·ãªãŒãã ãŒã²ãµãåãåç²§æ°Žæãšå€ãåç²§æ°Žã®åã«ããŠãŸãé¡ã«æ®ã£ãæ±ããæãåã£ãŠããããã®ã§ãã³ããã³ã«ã€ããŠã...
ãã£ãšèŠã
875
295
- 2021.05.31
ããã°ãã¯âœïœ¥:*玬ã§ã!!ä»åã¯ãã£ã³ã¡ã€ã¯ã®ãã€ã«ãã玹ä»ããŠããããšæããŸãâïž,ð\ããã¿ã«ã©ãŒã§æ¥ã£ãœãã€ã«/ð·CANMAKEã«ã©ãã«ãã€ã«ãºN28ã¹ã¢ãŒããŒã¢ã¯ã¢#ãã£ã³ã¡ã€ã¯#ã«ã©ãã«ãã€ã«ãºãã®è²ã¯ã»ããšã«ãããããããè²!!...
ãã£ãšèŠã
274
63
- 2020.04.30
ããã°ãã¯âœïœ¥:*玬ã§ã!!仿¥ãã5æãå§ãŸããŸããããà»ê±Â·ïŸèªç²ãç¶ãäžã§ãããèªåãã¡ãªãã«èªç²æéãææçŸ©ã«éãããŸãããð€,ð\æè²ã«ã©ãŒã®åãããŒã¯/ð·CEZANNEããã¥ã©ã«ããŒã¯ïŒ®17.18#ã»ã¶ã³ã#ããã¥ã©ã«ããŒã¯ãã®...
ãã£ãšèŠã
173
29
- 2020.05.01
ããã°ãã¯ãâœïœ¥:*玬ã§ã!!ä»åã¯Viseeã®ã«ã©ãŒãªã³ã°ã¢ã€ãããŠãã¹ã«ã©ãã玹ä»ãããŠããã ããŸãïŒ,ð\é»é«ªã§ã墿ãããããã/ð·Viseeã«ã©ãŒãªã³ã°ã¢ã€ãããŠãã¹ã«ã©BR-5ããŒã¯ãã©ãŠã³#Visee#é»é«ªãã®ã«ã©ãŒã¯é»é«ªããã§...
ãã£ãšèŠã
154
9
- 2020.05.07
\æ¿æšããã¹ã«ã©/ð·CANMAKEã¯ã€ãã¯ã©ãã·ã¥ã«ã©ãŒ(éæ)1çªæšããŠããã¹ã«ã©ã§ãââãã®ãã¹ã«ã©ã¯æã«å¡ã£ãŠå€æ¹ãŸã§äžãããªãæåŒ·ã®ãã¹ã«ã©ã§ãâžâžÊ̶̷̎Ì̯Ê̶̷̎Ìâžâžãã æ®å¿µãªæãããã€ããã£ãŠã»çœããªã£ã¡ããã»èœãšãã«ããã»...
ãã£ãšèŠã
141
11
- 2021.06.20
![LIPS[ãªããã¹] - ã³ã¹ã¡ã®ã¯ãã³ãæ€çŽ¢ã¢ããª](https://cloudflare.lipscosme.com/assets/lips_logo_full_2022-bc7b4bc9dd66035bc5696b0d16bc3d38a7be357186656c039e68cc4cf21ae675.png)





































































































ã³ã¡ã³ã