hince様から✿カバーマスターピンククッション♯17ライト使わせていただきました✧*。ホリデー限定パッケージが可愛いすぎて使うの勿体ない꒰⸝⸝ɞ̴̶̷·̮ɞ̴̶̷⸝⸝꒱💖✿カバーマスターピンククッション可愛いだけじゃない💖カバー力とキープ...
もっと見る17 ライト(ホリデー限定パッケージ)
※商品を購入すると売上の一部がLIPSに還元されることがあります。広告表記に関する行動指針・レーティング信頼性への取り組みをご参照ください。
ランキングIN
全体ランキング
人気のクチコミカバーマスターピンククッション 17 ライト(ホリデー限定パッケージ)

70
4
- 2週間前
hinceからホリデー限定パッケージの、カバーマスターピンククッションが登場💕❄️肌なじみが良くて厚塗り感なく綺麗なツヤ肌に仕上げてくれます🫧しっかり保湿感もあって、冬でも乾燥知らずなベースメイクに!ブースティングプレップと一緒に使用すると、...
もっと見る
93
2
- 3週間前
hince💗カバーマスターピンククッション17ライト💗ラディアンスメイクアップブースティングプレップミニ雪が舞っているような、ホリデー限定パッケージ❄️ブースティングプレップはとろみのついた美容液みたいでラメが入っていました!乾燥肌の方にお...
もっと見る
87
0
- 1週間前
#PRhince@hince_japan様より頂きました🎁 🤍カバーマスターピンククッション(ホリデー限定パッケージ) 🤍ラディアンスメイクアップブースティングプレップミニ限定パケが可愛すぎる❄️🩷厚塗りにならないのに、ひと塗りで気になる部分...
もっと見る
47
0
- 1週間前
hince(@hince_japan)様よりいただきました🎁PR🎄カバーマスターピンククッション(17light)🎄ホリデーパケはかわいすぎ😡高カバー力で綺麗なツヤ肌に仕上がる♡いつもより明るめカラーだけど自然にトーンアップするよ✨ブースティ...
もっと見る
103
2
- 1週間前
hince様より体験団でカバーマスターピンククッション(17Light)とラディアンスメイクアップブースティングプレップミニをいただき、使わせていただきました!私の場合、目立つしみは2度軽く重ね塗りすればコンシーラー無しでカバー出来ました。色...
もっと見る
63
3
- 2週間前
#PRhince様の【カバーマスターピンククッション&ラディアンスメイクアップブースティングプレップミニ❄️】体験団に当選しました✨【カバーマスターピンククッションホリデーデザイン】パフにとって、3点置きして、伸ばしてみたんですが、めっちゃノ...
もっと見る
55
1
- 1週間前
PR💌#hince雪をイメージしたホリデー限定パッケージ❄️🤍✔️カバーマスターピンククッションハイカバーだけど厚塗り感なし🫶🏻ひと塗りで気になる部分をカバーしてくれる🥰✔️ブースティングプレップミニファンデの密着感が高まり、肌本来のツヤを引...
もっと見る
81
2
- 2週間前
hince体験団に当選しました✨️🎀カバーマスターピンククッションコンシーラーいらずのカバー力なのに薄づきで自然にきれい!ひと塗りで肌悩みを隠してくれる💗自然なツヤ感✨️ほんのり血色感も出て、ぱっと明るい印象に🌸崩れにくくてマスクでも安心...
もっと見る
53
0
- 2週間前
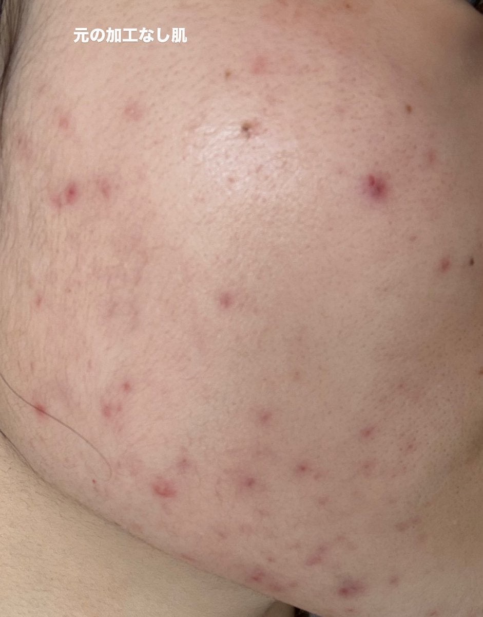
hince『@hince_japan』様よりカバーマスターピンククッション&ラディアンスメイクアップブースティングプレップミニをご提供いただきました🥹2枚目は肌加工なしの実際の私の肌で3枚目は一度塗りしただけのお肌❕これ一度塗りなんだよ⁉️っ...
もっと見る55
0
- 1週間前
#PR#hincehinceからホリデー限定スノーフラワーコレクションが登場!特にベースとファンデの相性が良くて、秋冬の乾燥する季節でもしっとりツヤ肌を作れます◎ベースは美容液みたいなみずみずしいテクスチャなので、塗ってから少し乾かすように時...
もっと見る
66
0
- 3週間前
𐙚hinceのホリデーうるつやベースメイク🌟❤︎hinceのホリデー限定スノーフラワーコレクション❄️🤍【hince】❤︎2025.11.1New⛄️❄️ラディアンスメイクアップブースティングプレップ¥2,640(税込)【使用クッション↓】...
もっと見る
86
0
- 1ヶ月前
hince♡ラディアンスメイクアップブースティングプレップミニ♡カバーマスターピンククッション(ホリデー限定パッケージ)Hinceから2025ホリデーの「スノーフラワー」コレクションが登場💖❄️雪景色に咲く“スノーフラワー”からインスピレーシ...
もっと見る
84
3
- 1週間前
♡.*・゚゚・*.♡#PRhinceヒンス❄️カバーマスターピンククッション(ホリデー限定パッケージ)🩷ラディアンスメイクアップブースティングプレップミニ♡.*・゚゚・*.♡乾燥厳しいこれからの季節にぴったりなhinceのベースメイクアイ...
もっと見る
80
1
- 2週間前
\やっぱりピンクが好き/꒰ঌ໒꒱私は夕方頃になると乾燥してきて目尻に細かいシワが出やすくなるんだけどこのクッションファンデはそれがほとんど出ない一日マスクをしていてもあまりつかないし崩れ方が綺麗なの♪ハイカバーで軽めの使用感だからストレスフリ...
もっと見る
111
3
- 2週間前
#PR hince様の体験談に当選し、お試しさせて頂きました。***************カバーマスターピンククッション&ラディアンスメイクアップブースティングプレップミニ***************「カバーマスターピンククッション」は、...
もっと見る
67
1
- 1週間前
hince体験団に当選してクッションファンデとプレップ頂きましたありがとうございます⟡.·⎯⎯⎯⎯⎯⎯⎯⎯⎯⎯⎯⎯⟡.·hinceラディアンスメイクアップブースティングプレップミニサイズ7mlhinceカバーマスターピンククッションホリデー限...
もっと見る
95
2
- 2週間前
#PR#hincehince❄️カバーマスターピンククッション17ライトホリデー限定パッケージハイカバーなのに厚塗り感のない、軽やかな仕上がり自然なツヤがきれいに出て、くすみにくく長時間きれいをキープ付属のパフもよくて、目元のカーブや細かいと...
もっと見る
113
2
- 2週間前
[PR]hince【カバーマスターピンククッション ホリデー限定パッケージ 17ライト】【ラディアンスメイクアップブースティングプレップ】hinceからクッションファンデのホリデー限定パッケージが登場✨雪が舞っているような可愛らしいデザイン❄...
もっと見る
91
1
- 2週間前
#PRhince(@hince_japan)様)よりいただきました!カバーマスターピンククッションブースティングプレップミニ限定パケの可愛いファンデと、ファンデ乗りを良くする下地!🎀ファンデはカバー力が高いのに厚塗りにならない!下地はファンデ...
もっと見る
93
2
- 1週間前
hinceのカバーマスターピンククッションとラディアンスメイクアップブースティングプレップミニ✨ヒンスのピンククッション私今回初めて使ったんだけどまずカバー力と密着力のパワーに本当にびっくりした😳✨軽くトントン薄く乗せていくだけでしっかりカバ...
もっと見る
66
1
- 1週間前
【PR】hince様から商品提供していただきました。粉雪が舞うような特別なピンクパッケージのクッションファンデ⛄️💗17ライトは明るすぎず、自然に透明感が増す色味です。薄膜なのにスッと悩みをカバーしてくれて、コンシーラー要らずの仕上がりに。皮...
もっと見る
55
2
- 2週間前
hinceカバーマスターピンククッション&ラディアンスメイクアップブースティングプレップミニサイズご提供していただきました✨実はクッションファンデを使うのが初めてなんです💦クッション以外も、あまりファンデーション自体使わずに来たのですが、たま...
もっと見る
77
1
- 3週間前
⋆⸜hinceのツヤ肌コンビ!⸝⋆ホリデー限定パッケージがかわいすぎるピンククッションとブースティングプレップミニの組み合わせがよすぎたっ😚🩷🩷ファンデはひと塗りで赤みや毛穴をカバーしてくれるし、厚塗り感が全然ないの!ブースティングプレップは...
もっと見る
71
2
- 1週間前
人気の画像クチコミをピックアップ!17 ライト(ホリデー限定パッケージ)

hince(@hince_japan)様よりいただきました🎁PR🎄カバーマスターピンククッション(17light)🎄ホリデーパケはかわいすぎ😡高カバー力で綺麗なツヤ肌に仕上がる♡いつもより明るめカラーだけど自然にトーンアップするよ✨ブースティングプレップと一緒に使うとファンデのもちがアップ👍#提供
クチコミをもっと見る
hince(@hince_japan)様よりいただきました🎁PR🎄カバーマスターピンククッション(17light)🎄ホリデーパケはかわいすぎ😡高カバー力で綺麗なツヤ肌に仕上がる♡いつもより明るめカラーだけど自然にトーンアップするよ✨ブースティングプレップと一緒に使うとファンデのもちがアップ👍#提供
クチコミをもっと見る
#PR hince様の体験談に当選し、お試しさせて頂きました。***************カバーマスターピンククッション&ラディアンスメイクアップブースティングプレップミニ***************「カバーマスターピンククッション」は、ホリデー限定パッケージ”スノーフラワーコレクション”ということで、やわらかなピンクを基調にグラデーションも入り、粉雪が舞い散るような情景が思い浮かび可愛いです。パフはしずく型で、先端がピンクのグラデーションになっているのが、これまた可愛い。「カバーマスターピンククッション」は、クマ・毛穴・赤み・ニキビ跡など、こちら1つでナチュラルにカバーし、X-fine技術により超微細なパウダーがなめらかに密着し、ムラなく均一な肌印象へと導いてくれるのだとか。そして、うるおいを守りながら、スーパーフィット処方で崩れにくく長時間キープされ、ヨレにくく、表情の動きにもフィットして、ツヤをピタッと密着させ、なめらかでつるんとした光沢肌が続くというので、魅力的に思います。使用色は、【17号ライト:ナチュラルで明るいトーン】です。ふわっと肌に乗るような、しっとりとした付け心地に思います。透明感のある仕上がりも◎因みに、相性がピッタリという化粧下地「ラディアンスメイクアップブースティングプレップ」。スキンケアの後に使用することで、ファンデの密着度が高まり、よりなめらかで崩れにくいベースメイクを叶えてくれるのだとか。オーロラを感じさせるような微細なパールが含まれており、その美しさにうっとり。水分感のある軽やかなつけ心地ということもあり、薄く伸び広げるのがよさそう。ツヤ感のある、うるっとした仕上がりで、「カバーマスターピンククッション」を重ねると、フィット感が高まるように思います。#hince#ヒンス#韓国コスメ#クッションファンデーション#化粧下地#ベースメイク@hince_official_jp
クチコミをもっと見る
#PR hince様の体験談に当選し、お試しさせて頂きました。***************カバーマスターピンククッション&ラディアンスメイクアップブースティングプレップミニ***************「カバーマスターピンククッション」は、ホリデー限定パッケージ”スノーフラワーコレクション”ということで、やわらかなピンクを基調にグラデーションも入り、粉雪が舞い散るような情景が思い浮かび可愛いです。パフはしずく型で、先端がピンクのグラデーションになっているのが、これまた可愛い。「カバーマスターピンククッション」は、クマ・毛穴・赤み・ニキビ跡など、こちら1つでナチュラルにカバーし、X-fine技術により超微細なパウダーがなめらかに密着し、ムラなく均一な肌印象へと導いてくれるのだとか。そして、うるおいを守りながら、スーパーフィット処方で崩れにくく長時間キープされ、ヨレにくく、表情の動きにもフィットして、ツヤをピタッと密着させ、なめらかでつるんとした光沢肌が続くというので、魅力的に思います。使用色は、【17号ライト:ナチュラルで明るいトーン】です。ふわっと肌に乗るような、しっとりとした付け心地に思います。透明感のある仕上がりも◎因みに、相性がピッタリという化粧下地「ラディアンスメイクアップブースティングプレップ」。スキンケアの後に使用することで、ファンデの密着度が高まり、よりなめらかで崩れにくいベースメイクを叶えてくれるのだとか。オーロラを感じさせるような微細なパールが含まれており、その美しさにうっとり。水分感のある軽やかなつけ心地ということもあり、薄く伸び広げるのがよさそう。ツヤ感のある、うるっとした仕上がりで、「カバーマスターピンククッション」を重ねると、フィット感が高まるように思います。#hince#ヒンス#韓国コスメ#クッションファンデーション#化粧下地#ベースメイク@hince_official_jp
クチコミをもっと見る
#PR hince様の体験談に当選し、お試しさせて頂きました。***************カバーマスターピンククッション&ラディアンスメイクアップブースティングプレップミニ***************「カバーマスターピンククッション」は、ホリデー限定パッケージ”スノーフラワーコレクション”ということで、やわらかなピンクを基調にグラデーションも入り、粉雪が舞い散るような情景が思い浮かび可愛いです。パフはしずく型で、先端がピンクのグラデーションになっているのが、これまた可愛い。「カバーマスターピンククッション」は、クマ・毛穴・赤み・ニキビ跡など、こちら1つでナチュラルにカバーし、X-fine技術により超微細なパウダーがなめらかに密着し、ムラなく均一な肌印象へと導いてくれるのだとか。そして、うるおいを守りながら、スーパーフィット処方で崩れにくく長時間キープされ、ヨレにくく、表情の動きにもフィットして、ツヤをピタッと密着させ、なめらかでつるんとした光沢肌が続くというので、魅力的に思います。使用色は、【17号ライト:ナチュラルで明るいトーン】です。ふわっと肌に乗るような、しっとりとした付け心地に思います。透明感のある仕上がりも◎因みに、相性がピッタリという化粧下地「ラディアンスメイクアップブースティングプレップ」。スキンケアの後に使用することで、ファンデの密着度が高まり、よりなめらかで崩れにくいベースメイクを叶えてくれるのだとか。オーロラを感じさせるような微細なパールが含まれており、その美しさにうっとり。水分感のある軽やかなつけ心地ということもあり、薄く伸び広げるのがよさそう。ツヤ感のある、うるっとした仕上がりで、「カバーマスターピンククッション」を重ねると、フィット感が高まるように思います。#hince#ヒンス#韓国コスメ#クッションファンデーション#化粧下地#ベースメイク@hince_official_jp
クチコミをもっと見る
#PR hince様の体験談に当選し、お試しさせて頂きました。***************カバーマスターピンククッション&ラディアンスメイクアップブースティングプレップミニ***************「カバーマスターピンククッション」は、ホリデー限定パッケージ”スノーフラワーコレクション”ということで、やわらかなピンクを基調にグラデーションも入り、粉雪が舞い散るような情景が思い浮かび可愛いです。パフはしずく型で、先端がピンクのグラデーションになっているのが、これまた可愛い。「カバーマスターピンククッション」は、クマ・毛穴・赤み・ニキビ跡など、こちら1つでナチュラルにカバーし、X-fine技術により超微細なパウダーがなめらかに密着し、ムラなく均一な肌印象へと導いてくれるのだとか。そして、うるおいを守りながら、スーパーフィット処方で崩れにくく長時間キープされ、ヨレにくく、表情の動きにもフィットして、ツヤをピタッと密着させ、なめらかでつるんとした光沢肌が続くというので、魅力的に思います。使用色は、【17号ライト:ナチュラルで明るいトーン】です。ふわっと肌に乗るような、しっとりとした付け心地に思います。透明感のある仕上がりも◎因みに、相性がピッタリという化粧下地「ラディアンスメイクアップブースティングプレップ」。スキンケアの後に使用することで、ファンデの密着度が高まり、よりなめらかで崩れにくいベースメイクを叶えてくれるのだとか。オーロラを感じさせるような微細なパールが含まれており、その美しさにうっとり。水分感のある軽やかなつけ心地ということもあり、薄く伸び広げるのがよさそう。ツヤ感のある、うるっとした仕上がりで、「カバーマスターピンククッション」を重ねると、フィット感が高まるように思います。#hince#ヒンス#韓国コスメ#クッションファンデーション#化粧下地#ベースメイク@hince_official_jp
クチコミをもっと見る
#PR hince様の体験談に当選し、お試しさせて頂きました。***************カバーマスターピンククッション&ラディアンスメイクアップブースティングプレップミニ***************「カバーマスターピンククッション」は、ホリデー限定パッケージ”スノーフラワーコレクション”ということで、やわらかなピンクを基調にグラデーションも入り、粉雪が舞い散るような情景が思い浮かび可愛いです。パフはしずく型で、先端がピンクのグラデーションになっているのが、これまた可愛い。「カバーマスターピンククッション」は、クマ・毛穴・赤み・ニキビ跡など、こちら1つでナチュラルにカバーし、X-fine技術により超微細なパウダーがなめらかに密着し、ムラなく均一な肌印象へと導いてくれるのだとか。そして、うるおいを守りながら、スーパーフィット処方で崩れにくく長時間キープされ、ヨレにくく、表情の動きにもフィットして、ツヤをピタッと密着させ、なめらかでつるんとした光沢肌が続くというので、魅力的に思います。使用色は、【17号ライト:ナチュラルで明るいトーン】です。ふわっと肌に乗るような、しっとりとした付け心地に思います。透明感のある仕上がりも◎因みに、相性がピッタリという化粧下地「ラディアンスメイクアップブースティングプレップ」。スキンケアの後に使用することで、ファンデの密着度が高まり、よりなめらかで崩れにくいベースメイクを叶えてくれるのだとか。オーロラを感じさせるような微細なパールが含まれており、その美しさにうっとり。水分感のある軽やかなつけ心地ということもあり、薄く伸び広げるのがよさそう。ツヤ感のある、うるっとした仕上がりで、「カバーマスターピンククッション」を重ねると、フィット感が高まるように思います。#hince#ヒンス#韓国コスメ#クッションファンデーション#化粧下地#ベースメイク@hince_official_jp
クチコミをもっと見る
#PR hince様の体験談に当選し、お試しさせて頂きました。***************カバーマスターピンククッション&ラディアンスメイクアップブースティングプレップミニ***************「カバーマスターピンククッション」は、ホリデー限定パッケージ”スノーフラワーコレクション”ということで、やわらかなピンクを基調にグラデーションも入り、粉雪が舞い散るような情景が思い浮かび可愛いです。パフはしずく型で、先端がピンクのグラデーションになっているのが、これまた可愛い。「カバーマスターピンククッション」は、クマ・毛穴・赤み・ニキビ跡など、こちら1つでナチュラルにカバーし、X-fine技術により超微細なパウダーがなめらかに密着し、ムラなく均一な肌印象へと導いてくれるのだとか。そして、うるおいを守りながら、スーパーフィット処方で崩れにくく長時間キープされ、ヨレにくく、表情の動きにもフィットして、ツヤをピタッと密着させ、なめらかでつるんとした光沢肌が続くというので、魅力的に思います。使用色は、【17号ライト:ナチュラルで明るいトーン】です。ふわっと肌に乗るような、しっとりとした付け心地に思います。透明感のある仕上がりも◎因みに、相性がピッタリという化粧下地「ラディアンスメイクアップブースティングプレップ」。スキンケアの後に使用することで、ファンデの密着度が高まり、よりなめらかで崩れにくいベースメイクを叶えてくれるのだとか。オーロラを感じさせるような微細なパールが含まれており、その美しさにうっとり。水分感のある軽やかなつけ心地ということもあり、薄く伸び広げるのがよさそう。ツヤ感のある、うるっとした仕上がりで、「カバーマスターピンククッション」を重ねると、フィット感が高まるように思います。#hince#ヒンス#韓国コスメ#クッションファンデーション#化粧下地#ベースメイク@hince_official_jp
クチコミをもっと見る
#PR hince様の体験談に当選し、お試しさせて頂きました。***************カバーマスターピンククッション&ラディアンスメイクアップブースティングプレップミニ***************「カバーマスターピンククッション」は、ホリデー限定パッケージ”スノーフラワーコレクション”ということで、やわらかなピンクを基調にグラデーションも入り、粉雪が舞い散るような情景が思い浮かび可愛いです。パフはしずく型で、先端がピンクのグラデーションになっているのが、これまた可愛い。「カバーマスターピンククッション」は、クマ・毛穴・赤み・ニキビ跡など、こちら1つでナチュラルにカバーし、X-fine技術により超微細なパウダーがなめらかに密着し、ムラなく均一な肌印象へと導いてくれるのだとか。そして、うるおいを守りながら、スーパーフィット処方で崩れにくく長時間キープされ、ヨレにくく、表情の動きにもフィットして、ツヤをピタッと密着させ、なめらかでつるんとした光沢肌が続くというので、魅力的に思います。使用色は、【17号ライト:ナチュラルで明るいトーン】です。ふわっと肌に乗るような、しっとりとした付け心地に思います。透明感のある仕上がりも◎因みに、相性がピッタリという化粧下地「ラディアンスメイクアップブースティングプレップ」。スキンケアの後に使用することで、ファンデの密着度が高まり、よりなめらかで崩れにくいベースメイクを叶えてくれるのだとか。オーロラを感じさせるような微細なパールが含まれており、その美しさにうっとり。水分感のある軽やかなつけ心地ということもあり、薄く伸び広げるのがよさそう。ツヤ感のある、うるっとした仕上がりで、「カバーマスターピンククッション」を重ねると、フィット感が高まるように思います。#hince#ヒンス#韓国コスメ#クッションファンデーション#化粧下地#ベースメイク@hince_official_jp
クチコミをもっと見る
#PR hince様の体験談に当選し、お試しさせて頂きました。***************カバーマスターピンククッション&ラディアンスメイクアップブースティングプレップミニ***************「カバーマスターピンククッション」は、ホリデー限定パッケージ”スノーフラワーコレクション”ということで、やわらかなピンクを基調にグラデーションも入り、粉雪が舞い散るような情景が思い浮かび可愛いです。パフはしずく型で、先端がピンクのグラデーションになっているのが、これまた可愛い。「カバーマスターピンククッション」は、クマ・毛穴・赤み・ニキビ跡など、こちら1つでナチュラルにカバーし、X-fine技術により超微細なパウダーがなめらかに密着し、ムラなく均一な肌印象へと導いてくれるのだとか。そして、うるおいを守りながら、スーパーフィット処方で崩れにくく長時間キープされ、ヨレにくく、表情の動きにもフィットして、ツヤをピタッと密着させ、なめらかでつるんとした光沢肌が続くというので、魅力的に思います。使用色は、【17号ライト:ナチュラルで明るいトーン】です。ふわっと肌に乗るような、しっとりとした付け心地に思います。透明感のある仕上がりも◎因みに、相性がピッタリという化粧下地「ラディアンスメイクアップブースティングプレップ」。スキンケアの後に使用することで、ファンデの密着度が高まり、よりなめらかで崩れにくいベースメイクを叶えてくれるのだとか。オーロラを感じさせるような微細なパールが含まれており、その美しさにうっとり。水分感のある軽やかなつけ心地ということもあり、薄く伸び広げるのがよさそう。ツヤ感のある、うるっとした仕上がりで、「カバーマスターピンククッション」を重ねると、フィット感が高まるように思います。#hince#ヒンス#韓国コスメ#クッションファンデーション#化粧下地#ベースメイク@hince_official_jp
クチコミをもっと見る
\𝐡𝐢𝐧𝐜𝐞𝟐𝟎𝟐𝟓𝐇𝐨𝐥𝐢𝐝𝐚𝐲𝐂𝐨𝐥𝐥𝐞𝐜𝐭𝐢𝐨𝐧⋆˙⟡/ 繊細にきらめくスノーフラワーパッケージ冬ならではのデザインでホリデー感🎄⋆˙⟡ 気になる部分をカバーしながら厚塗り感のないツヤ感のある仕上がりに マットとグロウのいいとこ取り.ᐟ.ᐟコンシーラーいらずのカバー力でいつもよりコンシーラーを使う量が少なかったし、キメもきれいにカバーしてくれた◎スキンケア成分66%(水含む)配合なので乾燥知らず.ᐟ.ᐟ 花びらの形のパフが凹凸のある部分にもフィットしやすいしこのグラデーションがかわいい𓂃✿‧₊˚ 一緒にいただいたブースティングプレップを一緒に使うとさらにファンデの密着力とツヤ感が𝑈𝑃.ᐟ.ᐟほんのりラメ感があってツヤ感を自然に仕込める⋆˙⟡特に乾燥肌さんに使ってみてほしい💭ིྀ ୨୧┈┈┈┈┈┈┈┈┈┈┈┈┈┈┈┈┈┈┈୨୧#PR#hince#ヒンス#ホリデー限定#カバーマスターピンククッション#クッションファンデーション#韓国コスメ
クチコミをもっと見る
\𝐡𝐢𝐧𝐜𝐞𝟐𝟎𝟐𝟓𝐇𝐨𝐥𝐢𝐝𝐚𝐲𝐂𝐨𝐥𝐥𝐞𝐜𝐭𝐢𝐨𝐧⋆˙⟡/ 繊細にきらめくスノーフラワーパッケージ冬ならではのデザインでホリデー感🎄⋆˙⟡ 気になる部分をカバーしながら厚塗り感のないツヤ感のある仕上がりに マットとグロウのいいとこ取り.ᐟ.ᐟコンシーラーいらずのカバー力でいつもよりコンシーラーを使う量が少なかったし、キメもきれいにカバーしてくれた◎スキンケア成分66%(水含む)配合なので乾燥知らず.ᐟ.ᐟ 花びらの形のパフが凹凸のある部分にもフィットしやすいしこのグラデーションがかわいい𓂃✿‧₊˚ 一緒にいただいたブースティングプレップを一緒に使うとさらにファンデの密着力とツヤ感が𝑈𝑃.ᐟ.ᐟほんのりラメ感があってツヤ感を自然に仕込める⋆˙⟡特に乾燥肌さんに使ってみてほしい💭ིྀ ୨୧┈┈┈┈┈┈┈┈┈┈┈┈┈┈┈┈┈┈┈୨୧#PR#hince#ヒンス#ホリデー限定#カバーマスターピンククッション#クッションファンデーション#韓国コスメ
クチコミをもっと見る
\𝐡𝐢𝐧𝐜𝐞𝟐𝟎𝟐𝟓𝐇𝐨𝐥𝐢𝐝𝐚𝐲𝐂𝐨𝐥𝐥𝐞𝐜𝐭𝐢𝐨𝐧⋆˙⟡/ 繊細にきらめくスノーフラワーパッケージ冬ならではのデザインでホリデー感🎄⋆˙⟡ 気になる部分をカバーしながら厚塗り感のないツヤ感のある仕上がりに マットとグロウのいいとこ取り.ᐟ.ᐟコンシーラーいらずのカバー力でいつもよりコンシーラーを使う量が少なかったし、キメもきれいにカバーしてくれた◎スキンケア成分66%(水含む)配合なので乾燥知らず.ᐟ.ᐟ 花びらの形のパフが凹凸のある部分にもフィットしやすいしこのグラデーションがかわいい𓂃✿‧₊˚ 一緒にいただいたブースティングプレップを一緒に使うとさらにファンデの密着力とツヤ感が𝑈𝑃.ᐟ.ᐟほんのりラメ感があってツヤ感を自然に仕込める⋆˙⟡特に乾燥肌さんに使ってみてほしい💭ིྀ ୨୧┈┈┈┈┈┈┈┈┈┈┈┈┈┈┈┈┈┈┈୨୧#PR#hince#ヒンス#ホリデー限定#カバーマスターピンククッション#クッションファンデーション#韓国コスメ
クチコミをもっと見る
\𝐡𝐢𝐧𝐜𝐞𝟐𝟎𝟐𝟓𝐇𝐨𝐥𝐢𝐝𝐚𝐲𝐂𝐨𝐥𝐥𝐞𝐜𝐭𝐢𝐨𝐧⋆˙⟡/ 繊細にきらめくスノーフラワーパッケージ冬ならではのデザインでホリデー感🎄⋆˙⟡ 気になる部分をカバーしながら厚塗り感のないツヤ感のある仕上がりに マットとグロウのいいとこ取り.ᐟ.ᐟコンシーラーいらずのカバー力でいつもよりコンシーラーを使う量が少なかったし、キメもきれいにカバーしてくれた◎スキンケア成分66%(水含む)配合なので乾燥知らず.ᐟ.ᐟ 花びらの形のパフが凹凸のある部分にもフィットしやすいしこのグラデーションがかわいい𓂃✿‧₊˚ 一緒にいただいたブースティングプレップを一緒に使うとさらにファンデの密着力とツヤ感が𝑈𝑃.ᐟ.ᐟほんのりラメ感があってツヤ感を自然に仕込める⋆˙⟡特に乾燥肌さんに使ってみてほしい💭ིྀ ୨୧┈┈┈┈┈┈┈┈┈┈┈┈┈┈┈┈┈┈┈୨୧#PR#hince#ヒンス#ホリデー限定#カバーマスターピンククッション#クッションファンデーション#韓国コスメ
クチコミをもっと見る
⋆⸜hinceのツヤ肌コンビ!⸝⋆ホリデー限定パッケージがかわいすぎるピンククッションとブースティングプレップミニの組み合わせがよすぎたっ😚🩷🩷ファンデはひと塗りで赤みや毛穴をカバーしてくれるし、厚塗り感が全然ないの!ブースティングプレップはチラチラ光る上品なラメがファンデの仕上がりを底上げしてくれる✨スキンケアのあとに仕込むだけで密着力がグッとあがるしファンデが均一にのせられたよ😳❣️保湿力もあって崩れにくいからセット使いがおすすめ♡hinceのうるツヤ肌ならこのコンビで決まりっ🫶❣️#PR#hince#ヒンス#カバーマスターピンククッション#ブースティングプレップ#コスメレビュー
クチコミをもっと見る
あなたにおすすめのバリエーションカバーマスターピンククッション 17 ライト(ホリデー限定パッケージ)

21 ピュアアイボリー
- ブルベ夏
- 人気

17 ライト
- ブルベ夏
- 人気

21 ピュアアイボリー(ホリデー限定パッケージ)
- イエベ春
- 人気
- 新作

15 フェア
- ブルベ夏

23 ベージュ
- ブルベ夏

15 フェア(ホリデー限定パッケージ)
- 新作

22 ナチュラル(ホリデー限定パッケージ)
- 新作

23 ベージュ(ホリデー限定パッケージ)
- 新作

22 ナチュラル
- ブルベ冬
商品詳細情報カバーマスターピンククッション 17 ライト(ホリデー限定パッケージ)
- ブランド名
- hince(ヒンス)
- ランキングIN
- クッションファンデーションランキング第136位
- 容量・参考価格
- 11g: 2,970円
- 取扱店舗
- 近くのhince取扱店舗はこちら
- 商品説明
- 【2025クリスマスコフレ】 限定 ■発売日 ・オンライン - Qoo10公式ショップ:2025年11月1日(土) - 公式オンラインストア hince.jp:2025年11月1日(土) - ZOZOTOWNショップ:2025年11月1日(土) • オフライン - 直営店(hince ルミネエスト新宿店、 ルクア イーレ店、タカシマヤ ゲートタワーモール店):2025年11月1日(土) - LOFT・ PLAZAなど全国のバライエティショップ:2025年11月4日(火) ※順次発売 ※店舗の事情により取り扱いがない場合がございます。
- メーカー名
- VIVAWAVE
- 発売日
- 2025/11/01
- カテゴリ
- ベースメイク > ファンデーション > クッションファンデーション
- 色
- 17 ライト(ホリデー限定パッケージ)
クッションファンデーションランキング
| 商品画像 | 商品情報 | 参考価格 | 評価 | ランキングIN | 特徴 | 商品リンク |
|---|---|---|---|---|---|---|
YVES SAINT LAURENT BEAUTE ラディアント タッチ グロウパクト | 7,370円 |
| ファンデーションランキング第7位 | メッシュ構造のクッションファンデーションで、そのテクスチャーはみずみずしくなめらか✨ 軽やかなつけ心地なのに、しっかりカバーしてくれます◎ | 詳細を見る | |
upink カバー&グロウクッション | 2,200円 |
| ファンデーションランキング第6位 | ハイカバーでありつつツヤ感も忘れないところがとても良い♡ | 詳細を見る | |
クレ・ド・ポー ボーテ タンクッションエクラ ルミヌ | 8,030円 |
| ファンデーションランキング第5位 | 重ねるだけカバー力が自然に増して お化粧した感のある美しいツヤ仕上がり。 | 詳細を見る | |
PRADA BEAUTY プラダ メッシュ クッション | 11,330円 |
| ファンデーションランキング第10位 | 塗り心地といい、セミツヤ感 マスクしてても崩れがほぼ気にならない!! | 詳細を見る | |
BANILA CO カバーリシャス アルティメット ホワイトクッション | 2,970円 |
| ファンデーションランキング第13位 | 自然な仕上がりで、べたべたしないサラッとした使用感です。 | 詳細を見る | |
fwee フィー クッションガラス ナチュラル | 3,300円 |
| ファンデーションランキング第18位 | なめらかで伸びがいい◎ 肌に馴染むと、すべりにくく密着感のある質感に | 詳細を見る | |
JUNG SAEM MOOL エッセンシャル スキン ヌーダー クッション | 4,582円 |
| ファンデーションランキング第16位 | 水分たっぷりなテクスチャーでみずみずしく フィットしてくれる! | 詳細を見る | |
espoir ビーベルベットカバークッション | 3,300円 |
| ファンデーションランキング第19位 | セミマットな仕上がりです。細かいパウダーが施されているようで、軽くお肌に乗りました! | 詳細を見る | |
YVES SAINT LAURENT BEAUTE アンクル ド ポー ルクッションN | 10,670円 |
| ファンデーションランキング第21位 | レザーのパッケージが高級感たっぷり♡透明感が出て、大人っぽいセミマット肌に | 詳細を見る | |
LANEIGE ラネージュ ネオクッション ミュイ | 3,520円 |
| ファンデーションランキング第24位 | 自然なツヤ感のある仕上がりで、塗り直しても厚塗り感がでにくく、使いやすい◎ | 詳細を見る |
関連する記事hince(ヒンス) カバーマスターピンククッション 17 ライト(ホリデー限定パッケージ)

可愛いリップおすすめ34選|デパコス・プチプラなど紹介!
マリアりな|57426 view

流行りの細眉で垢抜けたい…眉毛の整え方&描き方を徹底解説|おすすめの美眉アイテム14選
みぃこ|68208 view

オイルリップ人気おすすめアイテム26選【クラランス・ディオールからプチプラまで】グロスとの違いや使い方も解説
tama|23033 view

ファンデーションが浮くのは脂性肌だけじゃない?おすすめの化粧下地から毛穴目立ちの直し方まで
tototan|94347 view

【2025最新】パケ買いコスメ29選!プチプラからプレゼントにおすすめのデパコス・韓国&中国ブランドまでご紹介
nimushi|197084 view

オルチャンメイクのやり方とは?30代・40代・一重の似合わせポイントも解説
nimushi|244851 view

hinceからホリデーコレクション「SNOW FLOWER」が登場
LIPS編集部|563 view

ファンデーションで化粧をする意味とは?選び方や使い方、種類別におすすめ商品もご紹介
紗雪|2921 view

おすすめの人気パールアイシャドウ15選|単色・プチプラ・デパコス別に厳選
みぃこ|28226 view

有名韓国コスメブランド27選!人気ブランド一覧&プチプラ・デパコスのおすすめ商品を紹介
nimushi|265672 view
おすすめのブランドhince(ヒンス) カバーマスターピンククッション 17 ライト(ホリデー限定パッケージ)
クチコミを探す
新作コスメカレンダー
新着商品hince(ヒンス)
hinceの新作を見る関連する人気おすすめランキングhince(ヒンス) カバーマスターピンククッション 17 ライト(ホリデー限定パッケージ)
- チーク
- パウダーチーク
- ベースメイク
- 化粧下地
- コンシーラー
- フェイスパウダー
- プレストパウダー
- ファンデーション
- クリームファンデーション
- ルースパウダー
- パウダーファンデーション
- リキッドファンデーション
- 日焼け止め・UVケア
- クリームチーク
- クッションファンデーション
- ハイライト・シェーディング
- ハイライト
- シェーディング
- BBクリーム
- CCクリーム
- フィックスミスト
- リキッドコンシーラー
- スティックコンシーラー
- クリームコンシーラー
- パウダーコンシーラー
- ペンシルコンシーラー
- パレットコンシーラー
- リキッドハイライト
- スティックハイライト
- クリームハイライト
- パウダーハイライト
- リキッドチーク
- ブロンザー
- 日焼け止めクリーム
- 日焼け止めミルク
- 日焼け止めローション
- 日焼け止めジェル
- 日焼け止めミスト・スプレー
- 日焼け止めスティック
- 日焼け止めパウダー
![LIPS[リップス] - コスメのクチコミ検索アプリ](https://cdn.lipscosme.com/assets/lips_logo_full_2022-bc7b4bc9dd66035bc5696b0d16bc3d38a7be357186656c039e68cc4cf21ae675.png)









































































イエベ春
ブルベ夏
ブルベ冬





























