ハリとツヤを増やしてきれいな肌にしたい ・内側からきれいな肌つくりをしたい メディキューブのビタミンたっぷりの美容液を ご紹介します! コレからも美容を楽しんでいきましょう💫
もっと見る重症ニキビ女子👸👩さんの人気クチコミ
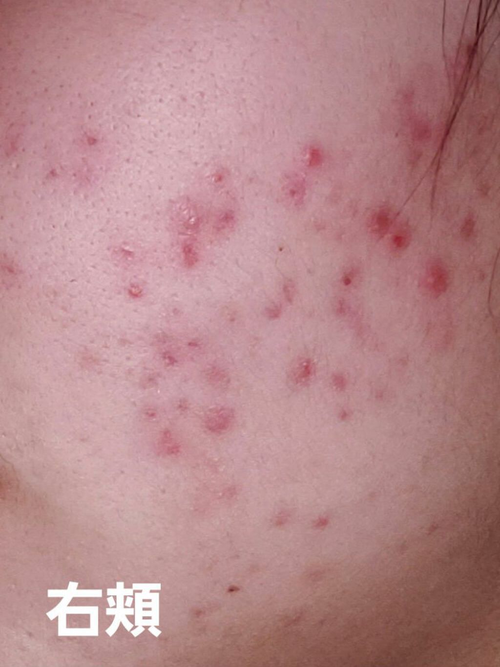
こんにちは‼️今日は4月4日と5月2日の比較ですさぁ、どうでしょう?笑変わりましたか?書くことないので、変わったと思う人は強制で♡くださいwww...
もっと見る
52
0
- 2021.05.02
こんばんは、こんにちは!ニキビ重症女です!あ、お久しぶりですwwwあと、最近投稿してなくてごめんなさい🙏💦💦テスト✍📝🖍やら学校🏫やらで忙しくて💦申し訳ないっす🥺🥺今日はニキビの比較をさせていただきます!えーと…まずは2枚あるじゃないですか、...
もっと見る
47
0
- 2021.02.24
こんにちは、こんばんは今日は私のスキンケア方法についてお話します!自分はほんとに肌が敏感なので市販のやつは使えません🥺この気持ち分かりますか?なので洗顔の時は水水以外は使いません。笑あとは皮膚科の薬や塗り薬だけです。はい!以上です!また何かあ...
もっと見る
46
0
- 2021.02.25
こんにちは‼️前よりも綺麗になったので、投稿しちゃいました‼️どうでしょう……?少しはマシになりましたか?笑なったと思う人はいいね、フォローしてください(^∨^)以上でふ!...
もっと見る
43
0
- 2021.04.30
こんばんは、こんにちは!皮膚科の薬💊のみ使用して4日目の朝です☀️🌱あ、夜も投稿しますね❤1日目と比べだいぶ赤みが減ったんではないでしょうか?笑気のせいですかね?いや気のせいではないはずと祈りますw自分はニキビができやすい体質なので困りますね...
もっと見る
41
0
- 2021.01.25
こんばんは、こんにちは!皮膚科変えてみました!前の皮膚科だと肌が一向に変わんない気がしたので…あれ?なんかニキビの赤み減ってる気がします。気のせいかと思ったけど気のせいではないですねw今回の治療法は漢方と塗り薬💊です!漢方?と思った方がいると...
もっと見る
36
0
- 2021.01.25
![LIPS[リップス] - コスメのクチコミ検索アプリ](https://cdn.lipscosme.com/assets/lips_logo_full_2022-bc7b4bc9dd66035bc5696b0d16bc3d38a7be357186656c039e68cc4cf21ae675.png)


































































































コメント