アトピー持ちの超敏感肌です。普通の日焼け止めを使うと、赤く痕が残ってしまうくらいの敏感肌です こちらはSPF50+ PA++++と紫外線保護効果高めのものです。テクスチャはサラサラした水っぽいタイプで伸びもよく、すーっと塗りひろげられます。 赤くなるかなと心配だったのですが、全くそんな事はなくてべたべたもしないし、白浮きもしてこないので普段遣いするのにすごくいいなと思いました!
もっと見るあぽろさんの人気クチコミ
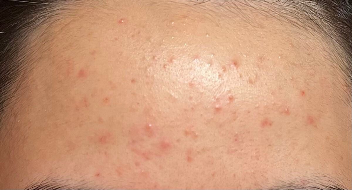
細かいブツブツがおでこに…!泣昔もらったペピオゲル使ってみようと思います。1日目#はじめての投稿...
もっと見る
50
0
- 2022.08.09
べピオゲル7日目旅行で4日ほどベピオゲルを塗らない期間があったからか酷くなってる、、、🥲継続しないと効果出ないものなんだと改めて実感…!🥹...
もっと見る
40
1
- 2022.08.20
ペピオゲル2日目 副作用なし効果出るまで気長に待とう〜✊(今日はメディヒールのパック使いました☀️)...
もっと見る
37
0
- 2022.08.10
べピオゲル6日目ニキビ気になって触ったら酷くなりました…泣やってしもーたーー🥺しっかり反省して次に活かします!✊🔥...
もっと見る
37
0
- 2022.08.13
べピオゲル5日目副作用の赤みはだいぶ治まってきた!✨凹凸も少しずつ少なくなってきている気がするぞ…👍...
もっと見る
35
1
- 2022.08.13
花粉で今まで荒れたことなかったのに、今年は花粉の量いつもの3倍くらいあるらしくてめっちゃ荒れちゃったのでフルコートFを3日塗ってみました😳結果→まじで効いた!✨細かいぶつぶつがすごかったんだけど、それがなくなった!もともと赤いニキビ跡があるか...
もっと見る
35
3
- 2023.03.04
![LIPS[リップス] - コスメのクチコミ検索アプリ](https://cdn.lipscosme.com/assets/lips_logo_full_2022-bc7b4bc9dd66035bc5696b0d16bc3d38a7be357186656c039e68cc4cf21ae675.png)




















































































コメント