10代の頃からニキビに悩まされています。ニキビ肌で敏感肌なので化粧品何を使っても荒れたりヒリヒリしたり何度もニキビが出来たり...ひとつ治ったと思えばまたひとつ増えたり。なかなか合う皮膚科も薬も見つからず、鏡を見るのも嫌な毎日でした。ですが絶...
もっと見る関連するクチコミ

- あずきꪔ̤̥
- 20代後半
- 混合肌
- イエベ春
32
2
- 2020.07.31
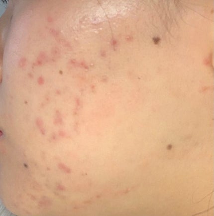
右頬ニキビ跡だけになっとる...なに急に?心変わりした???とにかく久しぶりに何もボコ!ってなってないほっぺ触ったわ〜感激〜左頬はご覧の通り!黄にきびと赤ニキビでいっぱいだよ!今日も元気に活動中!ほんまはよなくなってほしい冬だからしっかり保湿...
もっと見る
- とろり
- 20代前半
- 混合肌
- イエベ春
28
3
- 2020.12.23
オッス!オラ肌荒れ大将!!ニキビ跡と黄にきびがクリパしとんな最近は薬ののみ忘れと、クリスマスによる暴飲暴食と、卒論による寝不足で頬が絶好調です!!!!!!!!!!!ほんま勘弁してくれよ...美人って何光年先にいるんだよ....とりあえず人の頬...
もっと見る
- とろり
- 20代前半
- 混合肌
- イエベ春
31
0
- 2020.12.24
毎日投稿目指しとったのにもう無理だったわニキビ達は今日も元気です。なんでやねん歳も歳なんで、化粧をせにゃいけんのですわそれで肌の野郎がまたあれやがるんですね〜あ〜すっぴんでも外を出歩けるみんなが振り向く美女になりてぇ!!!ちなみに今日の朝ごは...
もっと見る
- とろり
- 20代前半
- 混合肌
- イエベ春
23
0
- 2020.12.20
朝起きたらちょっと肌調子いいのわかる人おらん?今日まさにそれだったんだけど、写真撮ったらそんなこと無かったわ。相変わらず大繁盛で〜す。なんでや表面上にボゴ!!って出るタイプの1番意味わからんやつは減ってきた〜今日は普通に大学対面授業なので化粧...
もっと見る
- とろり
- 20代前半
- 混合肌
- イエベ春
25
1
- 2020.12.21
本格的なニキビ生活から本格的なニキビ跡生活にシフトしました。いや〜なんか、ボゴ!って出るやつはとりあえずご退場されたようです。これをコンシーラーで隠せば万事解決かと思ったらコンシーラーがアホみてぇに乾燥して逆に汚く見えるのでやめました。もう寝...
もっと見る
- とろり
- 20代前半
- 混合肌
- イエベ春
37
0
- 2021.03.26
おっはよ〜ございます!!(天の声風)ニキビ街道まっしぐらの私が通るよ!!ここ最近で1番肌がお祭り状態で、本当に朝起きる度にハッ!(諦め)ってなります。こんなにニキビが育つほど私の肌は栄養があるんだね♪なわけねぇだろ!!!なんだお前ら!!誰の許...
もっと見る
- とろり
- 20代前半
- 混合肌
- イエベ春
26
0
- 2021.02.01
どうも!ニキビ流星群です!!!!どうした〜〜???まじで改善しねぇな???なんでだろうね????いや、心当たりあるな。外食しまくってんな。夜食食いまくってんな。順調に太ってんな。全部自分のせいじゃねぇか!!!!皮膚科の薬は普通に効かんけど自分...
もっと見る
- とろり
- 20代前半
- 混合肌
- イエベ春
45
1
- 2021.01.29
あけましておめでとうございます!!ニキビに年越しを許可した覚えもねぇのに一緒に越しやがった!!は!!!!おうちに猫様がいるせいかな、もう顔に付いた毛が痒くて痒くて仕方ねぇ!!これわかる人いねぇかな...いや〜、いつにも増して汚い。なんだこの赤...
もっと見る
- とろり
- 20代前半
- 混合肌
- イエベ春
37
1
- 2021.01.05
ちょっと照明が茶色いとこで撮ってしまったせいでサウナあがりみたいな色になりました赤いなもうちょっと自分じゃわからんけどめっちゃ酷くはなってないとは思うわしかし左頬よ。何?うちはお前の親でも殺したんかってくらい荒れやがるな!!白ニキビをマッハで...
もっと見る
- とろり
- 20代前半
- 混合肌
- イエベ春
34
0
- 2020.12.30
はい!ニキビ!!!!(写真撮影風)いや酷くなってますやん...なんかニキビ結託してますやん...なに...体育祭の高校生かな...そんなことはどうでも良くて、今更来やがった、皮膚科のお薬の副作用。見ていただいたらわかると思うんだけど、もうほん...
もっと見る
- とろり
- 20代前半
- 混合肌
- イエベ春
28
3
- 2021.01.10
こんにちは!私がこれまで皮膚科で貰ったお薬の紹介します。話が長くなります😭私は肌の調子が悪くなるといきなり大量にニキビができます、そうすると皮膚科に駆け込むって感じです🙄(治ったら行かなくなる💦)去年身体に湿疹ができて皮膚科に行きました。湿疹...
もっと見る
- みや
- 女性
- 20代後半
- 敏感肌
- イエベ秋
71
10
- 2020.08.08
![LIPS[リップス] - コスメのクチコミ検索アプリ](https://cdn.lipscosme.com/assets/lips_logo_full_2022-bc7b4bc9dd66035bc5696b0d16bc3d38a7be357186656c039e68cc4cf21ae675.png)







































































コメント