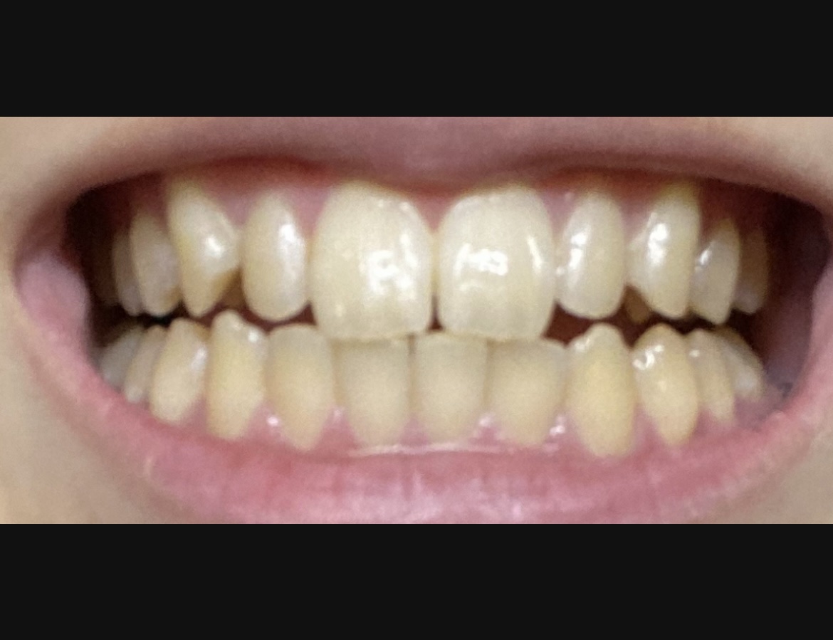
5Dホワイトニングシート🦷歯白くしたいけど歯医者でホワイトニングするのは高いし、歯磨き粉も効果なし。よく紅茶を飲むので歯が真っ黄っ黄でした^^(写真3枚目)自分の歯並びが嫌いなのでせめて白くしたいと思い色々調べました。そんな中で見つけたのがこ...
もっと見る3D WHITE
3D WHITEのコスメ・リアルなクチコミをまとめました。 定番の人気商品、2025年冬の新作は? みんなのオススメや話題の商品をチェックしよう!
人気商品ランキング
人気のクチコミ3D WHITEの人気レビュー

54
3
- 2024.02.06
大きい方のシートを上の歯に、小さい方のシートを下の歯に貼って、マウスピースしてライトを当てて30分放置して使いました! 仕上がりは部分的に白くなっているところがあるかな???て感じになったので、次はもっと密着するように貼ってみます! 私の場合はヒリヒリとかピリピリとかは感じなかったです◎
もっと見る
55
1
- 2023.12.13
自宅でできるホワイトニング! 忙しくて施術を受けられなさそうなので自己責任で購入してみました🧐 歯をホールドするように貼ってから30分ほど放置して剥がすだけなのでめちゃくちゃ簡単です👌🏻⸝⋆ 肝心の効果ですが、微妙。 イベントの前とか急ぎのときには良いけど時間があるなら歯医者に行きましょう( '-' )
もっと見る
64
1
- 2024.12.03
歯を白くしたくて、、自宅でできるホワイトニングに挑戦!!3DWHITETEETHWHITENINGSTRIPSシートは透明で個包装歯に貼り付けて15分ほど放置とりあえず2週間使用してみて若干白くなった、、??目に見えた効果はわからず個人差があ...
もっと見る
145
2
- 2024.10.09
Qoo10での購入品です🦷3DTEETHWHITENINGSTRIPS4980円する商品でしたがSALEで799円になっていたので試しに購入してみました!ホワイトニングシートは初めての使用なので他の商品の使い心地がわからないため、こうゆうもの...
もっと見る
67
6
- 2022.02.08
Qoo10で買った#3Dホワイト歯に貼ってホワイトニングするシート。着色汚れとかに。しみたりは私はしなかったけど、少しやった後知覚過敏になる気がするけどそこまで酷くはない。家でケアできるから良いですね#3dwhite#ホワイトニングシート#ホ...
もっと見る
51
2
- 2023.04.04
【使った商品】3DWHITETEETHWHITENINGSTRIPS【使用感】1度使っただけで私は効果を実感出来ました✨デートの2週間前ぐらいから3日間おきに使用してます!【どんな人におすすめ?】歯を白くしたい人!【使い方】歯にシートを貼って...
もっと見る
208
3
- 2024.06.23
美人の証は白くて透明感がある歯✨それを叶えてくれるのはこれ!3DWHITETEETHWHITENINGSTRIPSAmazonで700円前後で購入。歯に貼り付けて15-20分放置すると白い歯に近づけてくれます✋続ける度に透明感が増すのでコーヒ...
もっと見る
90
4
- 2023.10.16
貼るだけ簡単 お家ホワイトニング✨ 歯磨き粉などでは落ちにくい黄ばみも、綺麗に落ちるのが嬉しい✨ 週2回くらいを目安に使うと 1カ月くらいで効果が見えました💓 気になっている方は、ぜひチェックしてみて下さい😉💕
もっと見る
83
7
- 2023.04.30
綺麗な白い歯になりたいあなたへ🧸こんにちは!うどんです👦🏻本日は家で出来るホワイトニング方法についてご紹介していきます!!コロナ禍のマスク生活だからこそマスクをはずした時に白い歯だとすごく素敵ですよね〰️🕊という訳で…私が使っている商品は『3...
もっと見る
45
2
- 2022.01.15
ブランド詳細3D WHITE
- 商品登録件数
- 1件
- クチコミ件数
- 12件
- お気に入り登録者数
- 23人
関連する記事3D WHITE

YOLU SKINから「オーバーナイトハイドラシートマスク モイスト / クリア」が登場
LIPS編集部|203 view

【to/one】ケーキボックスをイメージした2025年ホリデーコレクション登場
LIPS編集部|278 view

ウォンジョンヨからメイク前に仕込む“メイクのり UP クリーム”が登場
LIPS編集部|259 view

アイシャドウの塗り方どうすればいいの?一重・奥二重向け、初心者向けや流行も画像付きで解説!
nimushi|101621 view

【初心者必見】アイメイクのやり方と順番を基本編・年代別・一重・二重別に紹介
kinaco|45436 view
![LIPS[リップス] - コスメのクチコミ検索アプリ](https://cdn.lipscosme.com/assets/lips_logo_full_2022-bc7b4bc9dd66035bc5696b0d16bc3d38a7be357186656c039e68cc4cf21ae675.png)









































